車禍肩痛拖半年 微導管栓塞術助男終於不再痛醒

【創新聞 記者張溎壕/彰化報導】肩痛半年痛到夜不成眠,46歲林姓男子因車禍摔傷右肩後,吃藥、復健都不見好轉,睡覺只要翻身壓到就會痛醒。日前到員榮醫療體系求診後,醫師評估其肩部存在異常微血管增生,建議施行「微導管栓塞術」。由心導室主任林彤宥執刀,術後疼痛明顯下降,手臂活動度逐漸恢復。

▲一名廚師患者因長期用手拿很重的鍋具,造成職業傷害,從影像可以看出手腕及手掌有新生的異常「雲霧狀」血管密佈。(員榮醫療提供)
復健科主任陳冠霖今(14)日指出,患者車禍後肩關節沾黏嚴重,右肩活動受限,工作一勞累就肩頸痠痛、偏頭痛跟著發作。檢查顯示,患者右肩旋轉肌腱撕裂、肱骨骨髓水腫,關節囊韌帶也受損;骨骼超音波則發現患部血流大幅增加。

▲員榮心導室主任林彤宥醫師解釋血管栓塞術。(員榮醫療提供)
「不少慢性疼痛其實是異常增生的微血管與裸露的疼痛神經在作祟。」陳冠霖說。由於患者已長期服藥並接受復健治療,效果有限,陳冠霖遂建議採用近年醫界積極發展的「經導管動脈微栓塞術(TAME)」,透過血管攝影精準找出異常微血管,再以微導管注入栓塞劑阻斷血流,直擊疼痛來源。

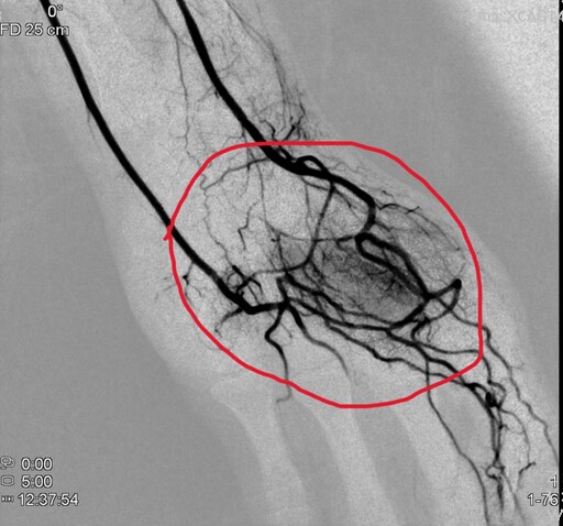
▲因職業傷害無法工作的廚師,經員榮醫院心臟內科主任林彤宥醫師在X光透視下導引微導管,將栓塞劑注入異常增生血管。(員榮醫療提供)
負責手術的林彤宥主任解釋,療程與心導管、腫瘤栓塞相似,從手腕橈動脈或鼠蹊部股動脈進行穿刺,在X光導引下將栓塞材料注入異常血管,使周邊神經因血流受阻而降低活性,疼痛訊號因而減少。「原本影像上呈現雲霧狀的血管,栓塞後馬上變得清晰許多,疼痛也跟著減輕。」林主任說。

▲員榮心導室主任林彤宥醫師解釋血管栓塞術。(員榮醫療提供)
患者術後再搭配自體血小板增生(PRP)注射修補組織,兩週後回診時已能正常入睡,右肩疼痛大幅緩解,後續仍需持續復健。

因職業傷害無法工作的廚師,右手新生的異常微細血管(圖左,標注為B),處理過程中異常微細血管逐漸消失(圖中),手術過異常微細血管都被不見(圖右,標注為A)
根據國內外臨床研究,有約八成患者接受微導管栓塞術後疼痛顯著減輕,復發率較傳統藥物與注射治療更低,但仍有約15%至20%的患者改善有限。肩痛患者通常需處理五至六條血管。

▲員榮心導室主任林彤宥醫師解釋血管栓塞術。(員榮醫療提供)
林彤宥提醒,微導管栓塞術主要適用於「慢性疼痛且傳統治療無效」的患者,包括肩痛、媽媽手、網球肘、足底筋膜炎等。民眾若症狀持續未改善,應由專業醫師評估再決定是否接受相關治療。
最新健康新聞
-
-
小六視力不良逾六成!專家:每週日照200分鐘降風險
(2 小時前) -
親友說他不想活了,怎麼辦?日本禪僧教「1招」從死亡邊緣拉回來
(2 小時前) -
新生女嬰全身紅疹,驗出罕見1疾病,醫籲家長勿慌:早期治療可正常成長
(3 小時前) -
醫揭「慣性脫臼」5大成因!先天體質也可能中 教你4招讓關節更穩
(3 小時前)




